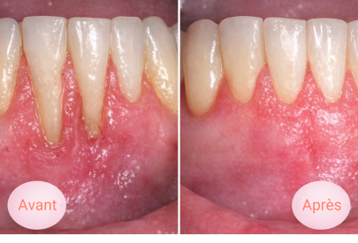
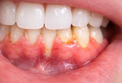
Gencive qui se rétracte en bas : causes et solutions contre le déchaussement
Dent du bas qui bouge légèrement ? Gencives se rétractent ? Le déchaussement des dents du bas est une situation inquiétante. Les dents inférieures sont les plus exposées au tartre, aux contraintes mécaniques et au bruxisme. Cela explique pourquoi le déchaussement touche très souvent la mâchoire inférieure.
Directeur médical des cliniques EL CEDRO














